編輯:北京凌鷹起重 瀏覽:14133 時間:2014-12-17
吊鉤是起重機重要的取物裝置,國內起重機吊鉤(75t以下)使用多的是鍛鉤。根據吊鉤結構和受力狀況,一般認為存在如圖1所示的三個Ⅰ-ⅠⅡ-Ⅱ和Ⅲ-Ⅲ危險截面。文獻認為Ⅱ-Ⅱ截面是吊鉤易發生疲勞變形或斷裂的危險截面。但從檢驗角度上看,Ⅲ-Ⅲ斷面處于橫截面突然變小的鉤頸退刀槽處,它是鉤尾軸部分承受拉應力大、強度弱的截面。

該斷裂面與軸線垂直,斷口平整光亮,具有典型的脆斷特征,如圖2所示,斷裂面緊鄰凹槽處。
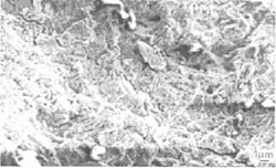
采用日本產的JSM-6300型掃描電子顯微鏡對斷口微觀特征進行分析(以下電鏡照片左下角為外壁方向,右上角為徑向,即裂紋擴展方向)。如圖3所示,整個斷面較為平整,但在斷裂邊緣處有一近似45b的斜斷面,寬約1mm,從圖中可看到新舊斷口全貌,中部舊裂紋是在使用過程中由于低周疲勞所形成的,右邊新斷口是瞬斷而形成的。
觀察原始斷口,發現存在疲勞裂紋,裂紋啟裂部位有一連續的與外圓平行的二次裂紋,見圖4。

從吊鉤受載特點看,為間歇性的大載荷,具有低周疲勞損傷特征。在低周疲勞的作用下,裂紋在邊緣啟裂后,裂紋以脆性擴展方式不斷向內部擴展。在裂紋擴展初期,除產生周向二次裂紋外,還出現了徑向二次裂紋,說明載荷比較大。
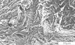
圖5為疲勞條紋形態,其條紋主要為韌性條帶,此時條帶相對較窄而當裂紋進一步擴展時裂紋條帶逐漸變寬,從圖中還可以看到疲勞裂紋條帶較為粗大,二次裂紋非常多,即破壞已相當嚴重。此時已預示著吊鉤的壽命快到盡頭了。
后斷裂特征為典型的脆性斷裂,見圖6。裂紋擴展到后,出現穿晶型的快速撕裂,由于該軸較為粗大,心部受力狀態為三向應力狀態,所以斷裂特征宏觀上呈現出瓷狀光亮的斷口(如圖2),微觀上為放射狀特征,見圖6。

上一條: 介紹幾種國產的吊索具
下一條: 適用于微型電動葫蘆的超聲波電鍍裝置

